All Dental Services
Dental Services





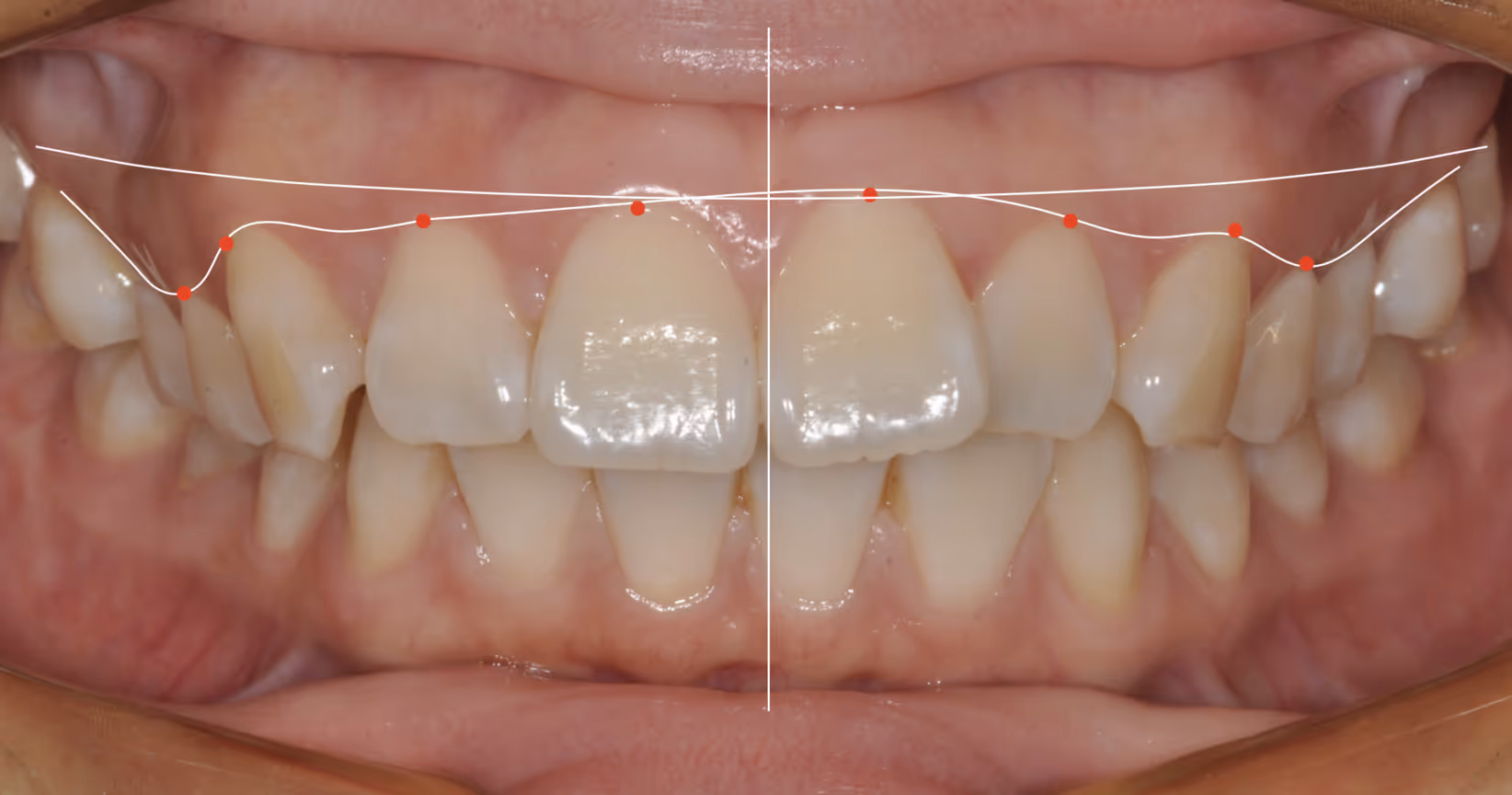
.avif)
Signature dental services

SmileUp™ Veneers
Get a Smile Makeover — a personalised combination of treatments designed to transform your entire smile.
Read more

Dental Implants
A permanent solution for missing teeth, designed to look, feel, and function just like natural teeth.
Read more

Invisalign®
Clear, removable aligners that straighten teeth discreetly without braces.
Read more

Same-Day Crown
Custom-made crowns designed, crafted, and fitted in a single appointment.
Read more

Teeth Whitening
A safe way to brighten stained or discoloured teeth under dentist supervision.
Read more

Gum Recontouring
A treatment to reshape your gums for a more balanced smile.
Read more
.avif)
Facelift Dentistry
A comprehensive approach to restore bite, improve jaw alignment, and enhance facial profile.
Read more

Get in touch
Have your questions answered
Our Concierge Manager will answer your questions — whether it's treatment options, pricing, or booking an appointment.